Chest Radiology
Thursday, December 31, 2015
Monday, December 28, 2015
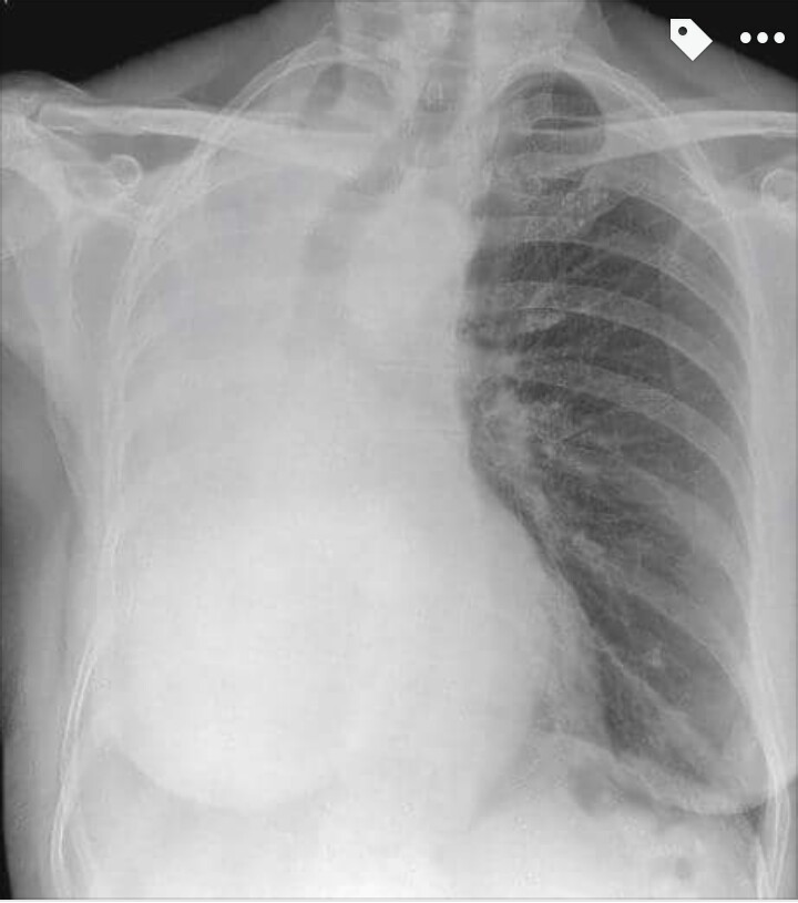
Right Lung Collapse
with deviation of the trachea and complete shift of the mediastinum to the right. The trachea and left main bronchus are visible, but there is an abrupt ‘cut off’ of the proximal right main bronchus. The appearances are of complete collapse of the right lung. CT shows extensive mediastinal and right hilar lymphadenopathy
extent, bronchus intermedius. There is also a moderate right pleural effusion.
IMPORTANT GOLDEN POINT: It is important to recognise the signs that help you determine the cause of complete opacification of a
hemi-thorax. Here, the signs are of complete lung collapse
with mediastinal shift to the abnormal side into the space created by the collapsed lung. There are no signs of previous surgery to suggest that the patient had undergone a pneumonectomy. If the cause was due to a large pleural effusion, there would be mediastinal shift away form the abnormal side due to the mass
effect of the effusion. A large mass together with a moderate effusion may result in central mediastinum.
Subscribe to:
Comments (Atom)



